
- <症例>
- 椎体脱臼
- <症状>
- 後ろ足が動かない
- <種類>
- 猫・雑種/オス/不明
- <検査内容>
- レントゲン検査、血液検査
- <手術名>
- 医療用セメントによる内固定
<症状の詳細>
庭で飼われている猫ちゃんですが、4・5日見当たらず、発見時は家の裏でうずくまっていました。交通事故にあったと思われ、起立困難・自力排尿できませんでした。1週間後、全身状態を確認し、椎体脱臼整復手術を行いました。
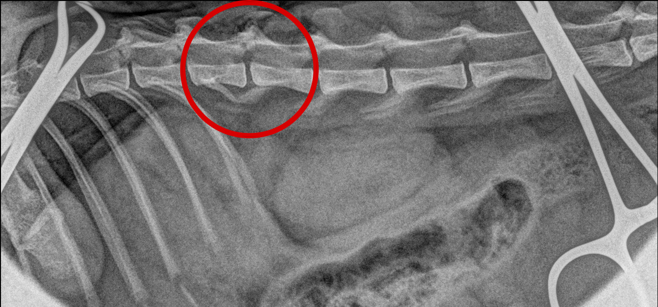
<手術前レントゲン>
第13胸椎-第1腰椎において椎体が脱臼しています。
<手術中レントゲン>
脱臼を整復しました。
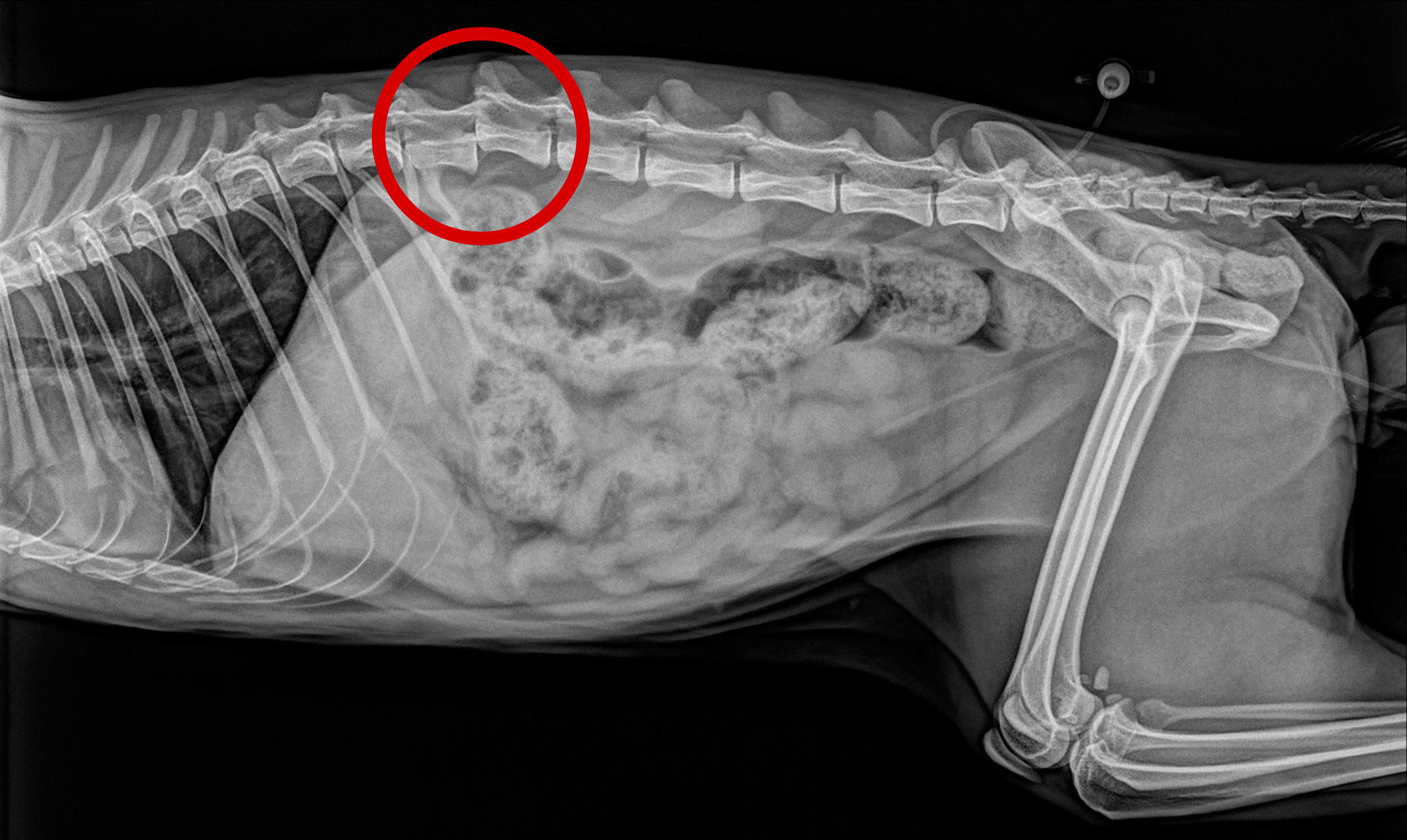
<手術後のレントゲン>
ピンと医療用セメントで固定しました。
▼術後の歩行の様子