SYMPTOMS/CASES

【症例25】
橈尺骨骨折
(犬・イタリアングレーハウンド)

<症例>
骨折
<症状>
脚を上げたまま歩く
<種類>
イタリアングレーハウンド/オス/10歳4カ月
<検査内容>
レントゲン検査、血液検査
<手術名>
インプラントによる内固定

<症状の詳細>

80㎝ぐらいの高さから飛び降りて左橈尺骨を骨折しました。術後は快適に歩行しています。

 

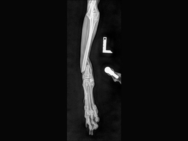
<術前のレントゲン>

左橈尺骨遠位端が骨折しています。

 

<術後のレントゲン>

インプラントによる内固定と海綿骨移植を行いました。

▼術後