
- <症例>
- 膝蓋骨脱臼
- <症状>
- 脚を上げたまま歩く
- <種類>
- トイプードル/オス/1歳5か月
- <検査内容>
- レントゲン検査、血液検査
- <手術名>
- 関節包縫縮術、脛骨粗面転移術
<症状の詳細>
ドッグランで遊んでいた際に、犬に追いかけられたあとから左後肢を上げて歩くようになりました。検査の結果、膝蓋骨内方脱臼と診断され、整復手術を行いました。術後は快適に歩行できています。
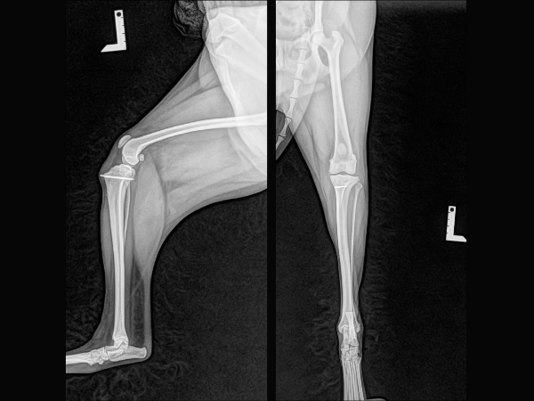
<術前のレントゲン>
膝蓋骨が内方に脱臼しています。
<脛骨粗面転移術とは?>
脛骨粗面(膝蓋靭帯の脛骨への付着部)を一部骨切りし、外側に移動させた上で、ピンで固定します。
<術後1年後のレントゲン>
再脱臼することなく、膝蓋骨が正常な位置にあります。
▼術前
▼術後