
- <症例>
- 前十字靭帯断裂
- <症状>
- 痛がって歩きにくい
- <種類>
- チワワ/オス/12歳11か月
- <検査内容>
- 脛骨前方引き出し試験、脛骨圧迫試験、レントゲン検査、血液検査
- <手術名>
- TPLO(脛骨高平部水平骨切り術)
<症状の詳細>
起き上がったときにキャンと鳴いて以降、右後ろ足を上げるということで来院されました。検査の結果、右前十字靭帯が完全断裂していました。術前は痛い右後ろ足をかばい、左後ろ足に重心をのせて歩いていましたが、術後はスムーズに歩行できています。
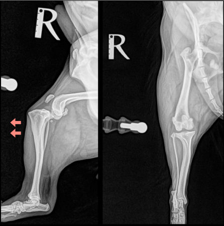
<術前のレントゲン>
前十字靭帯断裂により、脛骨が前方変位しています。
<術後のレントゲン>
骨切りを実施し、脛骨の角度を矯正、プレートで固定することで膝関節を安定させています。
▼術前の歩行の様子
▼術後の歩行の様子